循環器科
よくある心臓病の症状
注意すべき
症状
心臓病はかなり重症になるまで症状が出ないことが多いです
心臓病の一般的な症状として発咳、呼吸困難、失神、運動不耐、元気食欲不振、削痩などの心不全症状が生じると言われています。しかし、心臓病になってもある程度までならば心臓の機能や形態が変化し、血行動態の問題を解決してしまうため、全く症状が出ません。これを心臓の代償能力といいます。
体の中で一番大事な臓器である心臓は、代償能力が極めて高いです。もし動物に心不全の症状が現れたら、この代償能力ではまかないきれないほどに病状が悪化してしまった証拠であり、すでに重症になってしまっていることがあります。
元気な様子でも、主治医の先生から突然心臓病を告げられることがあります
心臓病の発見のきっかけは、何も症状が出ていないにも関わらず、診療を終えた主治医の先生から突然心臓病の発病を告げられるということがほとんどです。もし「この子には心雑音があります」と先生に言われたら、動物が元気いっぱいに走り回っていても絶対に油断は禁物です。
心雑音があると診断されたのに元気だからと放っておいたため、取り返しがつかない末期状態にまで進行してしまったケースもあります。
犬の心臓病の中で最も多い「僧帽弁閉鎖不全症」とは
心臓は、収縮を繰り返しながら全身に血液を送るポンプの役割を担っています。心臓の内部は4つの逆止弁で仕切られており、それぞれ血流の流れる順番に三尖弁・肺動脈弁・僧帽弁・大動脈弁といいます。これら4つの逆止弁が適切に開閉することによって、血液はいつも同じ方向に流れているのが正常です。そのうちの1つ、左心房と左心室を分け隔てる逆止弁が僧帽弁です。
僧帽弁は、大動脈や左心室に発生する高い血圧から肺や肺血管を守るために存在します。この僧帽弁がうまく閉じずに、血液が左心室から左心房へと逆流してしまうのが僧帽弁閉鎖不全という病気です。犬は僧帽弁閉鎖不全になりやすく、原因として加齢とともに僧帽弁が変性してしまうことがあげられます。
現代医学では僧帽弁の変性をストップさせたり、元に戻してくれる特効薬がありません。そのため症状を抑える薬を内服させながら管理しますが、根本的な原因が解決されないため次第に病気は重症化し、いつしか咳や呼吸困難などの症状が抑えられなくなっていきます。症状が出はじめた犬は、健康的な生活を送ることができないばかりか、極めて短命(9ヶ月間で50%の犬が予後不良)に終わることがいろいろなデータで判明しています。
心臓病の進行別 気を付けること・できること
犬の僧帽弁閉鎖不全症のステージ別に、飼い主様が気を付けること・できることがあります。
-
ステージB-1、2:心雑音はあるが心臓病の症状はない
体重管理・運動しすぎない/人の食べ物はあげない/定期的な心臓検査/早期療法食に変更
-
ステージC:運動で心臓病の症状が出る
激しい運動はしない/長時間の散歩は避ける/投薬/早期療法食
-
ステージC:普段の生活で心臓病の症状が出る
運動を控える/投薬/心臓病の療法食/心臓手術
-
ステージD:常に心臓病の症状が出ている(末期)
安静にする/投薬/心臓病の療法食/心臓手術
※ステージ分類:ACVIMガイドラインによる
※僧帽弁閉鎖不全症のステージは動物病院・獣医師の見解によって異なる場合があります
治療方法
僧帽弁閉鎖不全症の根本的な治癒には、人工心肺装置を使った心臓手術が必要
犬の僧帽弁閉鎖不全症を完全に治すためには、心臓の手術が必要です。
僧帽弁閉鎖不全症は、小型犬のチワワ、トイプードル、マルチーズ、キャバリアなどで特に多く発症する心臓病です。犬の僧帽弁閉鎖不全症は、僧帽弁のコラーゲン組織が変性して構造強度が低下し、弁が壊れることが原因で発症する遺伝性疾患です。
かなり進行して重度になると、肺の血管へと血液が逆流することで咳、疲れやすい、呼吸困難、食欲低下、チアノーゼなどが心不全症状として現れ、最期には肺水腫と呼吸困難で苦しみ、命を落としてしまいます。薬による内科治療で症状の緩和を行いますが、投薬では壊れた僧帽弁や逆流を治すことができません。薬は血行動態を調整するための対症療法です。そのため、僧帽弁閉鎖不全症による症状や生活の質(QOL)を改善し、寿命を伸ばすためには、心臓手術による根本的な外科治療が必要なのです。
慢性心不全の症状
-

咳が出る
-

チアノーゼ
-

やせる
-

むくみ・腹水
-

苦しくて横になれない
-

疲れやすい
犬の僧帽弁閉鎖不全症の最も効果的な治療法は「僧帽弁形成術(僧帽弁修復術)」です。僧帽弁形成術とは、犬自身の僧帽弁を修復して正常な機能を取り戻すための手術で、弁の構造を手術で整えることにより血液の逆流を防ぎます。手術中は、犬の体に人工心肺装置をつなげて心臓を安全に停止させ、断裂した腱索の代わりとなる「人工腱索再建術(人工腱索設置術)」と、広がった弁輪の形を整える「僧帽弁輪形成術(僧帽弁輪縫縮術)」が行われます。
僧帽弁形成術により、内服薬を減量したり、中止したりすることも可能で、投薬による副作用のリスクを低下させます。犬は手術後に元気を取り戻し、活発な生活を送れるようになります。
僧帽弁形成術という手術は人間の医学でも推奨されている心臓弁膜症の治療法であり、高い安全性と有効性が多くの研究により実証されています。獣医学分野においても、犬の僧帽弁閉鎖不全症に対して推奨される最善かつ標準的な心臓手術として世界的に認められています。
茶屋ヶ坂動物病院では年間200件以上の心臓病手術を行う
当院では1986年に世界で初めて犬の僧帽弁形成術に成功して以来、長年にわたり数多くの心臓外科に取り組んできました。現在では年間200件を超える動物の心臓手術を行っています。手術成功率は心不全ステージによって異なりますが、近年の症例全体の成功率は95.5%です。詳細はこちらをご参照ください。
手術では一時的に心臓の動きを止めるため、特殊な麻酔管理や人工心肺装置(体外循環装置)を使用します。高度な専門知識と繊細な技術が必要とされ、対応できる施設やスタッフは限られます。
術後は獣医師の監視のもと集中治療室ICUで管理し状態を見守ります。回復が順調である場合は、3~10日程度で退院ができます。退院後もしばらくは体調管理が必要で、周術期期間を乗り切るまで管理・検査治療ケアやアドバイスを行っていきます。手術・入院についての詳細はこちらをご参照ください。
心臓病の進行具合は心臓検査で精密にチェックする
心臓手術を行う前は精密な心臓検査を行います。軽症〜重症、小型〜大型、幼若〜高齢など、動物の状態によらず心臓検査を行っています。
心臓検査は、心雑音や心拡大・不整脈が認められた症例の精査をはじめ、循環器疾患を疑う症状、血液検査マーカーの異常、胸部臓器の異常や腫瘍、心膜横隔膜の異常が認められた症例の精査や、心臓が正常かどうかの確認なども行います。
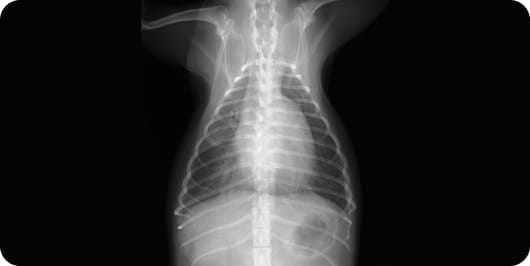
胸部レントゲン:心臓が拡大し、肺水腫(肺には水がたまっている)状態


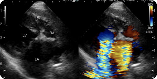
心エコー:心臓手術前の心臓は腱索が伸長・断裂し僧帽弁がうまく閉じずに血液の逆流がある

心電図:不整脈の有無やその種類を把握できます


その他にもさまざまな検査を行います、詳細はこちらをご参照ください(「心臓病を放置した場合」内の心臓検査へリンク)。
心臓手術前だけでなく、心臓手術を受けた後も定期的に心臓検査を行うことが大切です。
当院では心臓手術後1ヶ月、2ヶ月、3ヶ月、6ヶ月、1年、以降1年毎の定期的な心臓検査を推奨しています。


心臓検査の様子

ご家族様が安心して手術を受けられるための情報提供、取り組み
心臓検査の結果、医学的に心臓手術を行った方が良いと考えられる動物のご家族様には、病気の状態や、手術の必要性と目的、手術内容や段取り、危険性、入院期間、費用などについて正確な情報を提供し、安心して手術が受けられるよう努めています。
当院はご家族様が病気や治療について知り、公平、良質、安全な医療行為を受ける権利や、提示された治療法を選択/拒否する権利を大切に考えています。動物の体調や治療について深い不安がある場合や、ご不明な点、相談事項がございましたら何でもお尋ね下さい。
初診相談やセカンドオピニオンも承ります。動物やご家族様にとって最善の道を一緒に考えるのが私たちの姿勢です。心臓手術という選択肢がご家族様の未来を切り拓くかもしれません。まずはお気軽にご相談ください。
心臓病の内科治療・心臓病の薬
初期の心臓病治療の基本は内科治療になります。一般的に内科治療は投薬を行うということだけではなく、減塩食へ切り替える、過度な運動や興奮を抑制する、暑熱寒冷を避けるなどといった生活スタイルの見直しが含まれています。
心臓手術を望まない場合も内科治療を行います。
投薬には強心剤や利尿剤などが使われますが、副作用があるお薬もあります。また内科治療だけでは心臓病の根本的な治癒にはならないため、進行した場合の根治治療には心臓手術が必要です。
症状と原因
以下のような症状があるときは、早めにご相談ください。
咳をする(発咳)・心臓肥大(心肥大)・心拡大
「カッ!カッ!カハーッ!」っと痰を吐くような仕草、または「ゴホオ、ゴホオ」とのどから湿った咳が出たりするのが犬の咳の特徴で、夜〜朝方や興奮したときに症状がひどくなるケースが多いです。また、嘔吐症状と間違われることも多いです。
愛犬が「心臓肥大」「心肥大」「心拡大」と告げられたら要注意です。
咳は、心拡大が進行して大きくなった心臓に気管が押されたり、うっ血の影響が肺に及んだりすることが原因で起こります。また僧帽弁閉鎖不全症などの左心不全やフィラリア症で一般的な症状としても咳があり、気管に合併症を生じているケースも多くあります。猫の咳は珍しいのですが「ゴォ・・ゴホォ・・」と目立たない静かな咳が特徴です。喘息や肥大型心筋症や僧帽弁閉鎖不全などの心臓病が発見されるケースがあります。
これらの症状は心臓病の初期症状として現れることもあれば、末期症状として現れることもあります。
喘息/肥大型心筋症/僧帽弁閉鎖不全 など
呼吸困難
心臓病が進み肺血管の血圧が上がってくると、血液中の水分が肺の中にしみ出し、肺の中に水が入った状態になります。陸にいながら溺れているような状態になり、呼吸困難を生じます。この状態を肺水腫(はいすいしゅ)と呼びます。動物病院で「肺に水がたまっている」と言われたら、肺水腫と思ってください。
呼吸困難がひどくて酸素が全身に行き渡らない場合、酸素不足によって呼吸は浅く速くなり(浅速呼吸)、舌の色が蒼白〜紫色(チアノーゼ)になります。たいていの動物は苦しくて横になったり眠ることができず、お座りの姿勢をしたまま息苦しそうにします(起坐呼吸)。僧帽弁閉鎖不全や先天性心奇形による左心不全に認められる症状です。また、ハアハアとネコが口を開けて犬のような呼吸をするときは異常があります。
末期になってはじめて呼吸困難の症状が現れるケースもあれば、初期症状として現れるケースもあります。
肺水腫/僧帽弁閉鎖不全/先天性心奇形による左心不全 など
ふらつく・倒れる・失神・心臓発作
心臓の機能が落ちると、全身に血液を送る能力も落ちます。脳血流が不足するようになると、いわゆる「心臓発作」と言われる症状がおこり、ふらついたり倒れたり、立ちくらみのような症状が認められるようになります。フッと意識を失うように崩れ落ちたり、倒れて意識がないまま後ろにのけぞるような動作(後弓反張)や、倒れてジタバタしたり泳ぐような動作をするケースもあります。けいれんがおこることもあります。
発作症状は心臓病の初期症状として現れることもあれば、末期症状として現れるパターンもあります。
心臓の機能低下
腹水・体のむくみ
腹水や体のむくみは、腹部臓器や全身血流がうっ滞してしまうことにより生じます。うっ滞するとおなか部分だけが異常にふくれてきたり、手足がブヨブヨしたり、体重が異常に増加したりします。右心不全で一般的な症状です。
心臓病の初期症状として腹水やむくみが現れることもあれば、末期にはじめて症状が現れることもあります。
右心不全 など
疲れやすい(運動不耐)
心臓の能力が落ちるため、激しい運動がしにくくなっていきます。散歩を嫌がったり、運動したり興奮したりすると息があがりやすくなります。運動時は筋肉がたくさんの血液や酸素、エネルギーを必要とするため正常な心臓であれば簡単に血液を送り出す量を増やせますが、心不全の状態では身体の要求に応えることができません。結果として疲れやすくなり、すぐ息が切れるようになったり、散歩でもお座りやその場に伏せたり、すぐ休みたがるようになります。
末期になってはじめて疲れやすさが顕著に現れる動物もいれば、初期症状として顕著になる動物もいます。
心不全、低酸素血症、多血症 など
食欲不振
ごはんの選り好みがひどくなったと感じる場合、それは病気のサインかもしれません。心臓病が進行すると元気や食欲が低下します。食欲不振は最初は「ゴハンの選り好み」から始まります。ドライフードを食べなくなり、人間の食べ物やおいしいオヤツばかり欲しがって食べたりするようになります。
本当のワガママの場合もありますが、病気による食欲不振の初期症状である場合もあるため注意が必要です。ご飯の選り好みから始まりオヤツでさえ食べないようになった場合は病気のサインで、心臓病のことも多くあります。
ご飯を食べなくなったり選り好む症状が心臓病の初期症状で現れる事例もあれば、末期症状として現れる事例もあり、個体差があります。
心臓性悪液質、心不全、高窒素血症 など
やせ(削痩)
心臓病による全身性の消耗状態(心臓性悪液質)や慢性的な食欲不振によって、やせ衰える症状です。普段通りにご飯を食べていてもやせ衰え、肋骨や背骨部分が目立つように骨ばってくる場合があります。これは心臓病に限らず、何か病気がひそんでいるときに見られる傾向です。
このような症状は心臓病の初期で現れることもあれば、末期症状で現れる動物もいます。
心臓性悪液質、心不全、栄養失調 など
下痢
腸の働きにも血流は重要です。腸での血液の巡りが悪くなると消化吸収に影響を及ぼすほか、便の中の細菌バランスに乱れが生じ下痢症状が見られる場合があります。さまざまな心臓病で下痢が認められます。
末期になってはじめて下痢をする動物もいれば、初期症状で下痢をする動物もいます。
さまざまな心臓病
発熱
犬や猫の体温は38℃前後が正常で、人間と同じく一番基本的な健康のバロメーターです。動物は体毛があるため、必ず直腸で体温を測ります。
獣医師でも見逃してしまいがちな心臓病の症状に、発熱があります。原因不明の発熱があるときは、心臓の中に細菌が付着し、感染性心内膜炎を発症している可能性があります。
感染性心内膜炎は急激に発症するため、病気を正確に診断し、迅速な対処を行わないと死に至るとても恐ろしい病気です。発熱の原因がよく分からない、正確に特定できない場合には、感染性心内膜炎を生じていないか詳しく調べる必要があります。
末期になってはじめて発熱の症状が現れることもあれば、初期症状で発熱する動物もいます。
感染性心内膜炎 など
跛行(はこう)・運動麻痺・突然の悲鳴
心臓内の血栓が流れ、動脈に詰まって血液が流れなくなると、そこから先の部分が働かなくなり急激に運動麻痺などの症状が出ます。これを血栓塞栓症と言います。猫の心筋症で発症することが有名ですが、その他のさまざまな心臓病でも血栓塞栓症がおこる可能性があります。
初期症状としてはじめて運動麻痺が現われるケースもあれば、末期になってから現れるケースもあります。
血栓塞栓症 など






